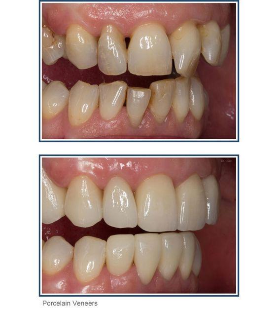
بد فرمی دندانها را با کامپوزیت رفع کنید
بد فرمی دندانها را با کامپوزیت رفع کنید
امروزه برخی از مدلهای بد فرمی و فاصلههای دندانی را با استفاده از کامپوزیتهای دندانی که نوعی از لمینتها هستند، اصلاح میکنند که علاوه بر درمان دندان و لثه منجر به زیبایی و افزایش اعتماد به نفس در افراد میشود. همچنین اگر دوست داشته باشید به واسطه دندانهای ردیف و زیبا لبخند زیباتری هم داشته باشید میتوانید از این روش زیبایی بهرهمند شوید.
در این مقاله به بررسی کامل لمینت دندان و انواع آن میپردازیم. همراه ما باشید.
انواع مختلف لمینت دندان
- لمینت سرامیکی
لمینت سرامیکی روشی غیر مستقیم برای اصلاح طرح لبخند فرد است. جنس این نوع لمینت از سرامیک است که به اصطلاح به آن چینی گفته میشود. لمینت سرامیکی طول عمر بیشتری نسبت به کامپوزیت دندان دارد و همچنین از لحاظ ظاهری بیشتر شبیه به دندانهای طبیعی هستند. با توجه به اینکه لمینت سرامیکی رنگ نمیگیرد و بسیار مقاوم است طرفداران زیادی را نسبت به سایر روشهای دیگر به دست آورده است. این را هم باید بدانید یکی از دلایلی که افراد به دنبال کامپوزیت دندان میروند این است که قیمت آن نسبت به لمینت سرامیکی ارزانتر است.





- لمینت کامپوزیتی
لمینت کامپوزیتی روشی مستقیم برای اصلاح طرح لبخند و بد فرمیهای دندان است. در روش لمینت کامپوزیت نسبت به لمینت سرامیکی تراش کمتری به دندانهای طبیعی داده میشود. البته اگر تعداد دندانهای زیاد خراب نباشد. کامپوزیتهای دندان تفاوت رنگی بالایی دارند که همین امر موجب میشود انتخاب رنگ کامپوزیت توسط خود فرد مراجعه کننده انجام شود و در نهایت با هنر دست متخصص زیبایی به دندانها صیقل داده میشوند.
نکته مهم این است که در روشهای زیبایی حتی در در دندان پزشکی هم در انتخاب دکتر مناسب دقت کنید زیرا که این کارهای زیبایی بر روی دندان احتیاج به مهارت و تخصص بالایی دارد و ممکن است کار یک دندان پزشکی با سلیقه شما جور نباشد. پس حتما در انتخاب پزشک دقت کنید و نمونه کارهای قبل و بعد افراد را در مطب مشاهده کنید.


فرق کامپوزیت و لمینت دندان چیست؟
یکی از سوالهای رایج میان افرادی که به دندان پزشکی مراجعه میکنند این است که تفاوت بین لمینت و کامپوزیت دندان در چیست؟
در ابتدا باید بگوییم ونیرهای دندان لایههای نازکی از مواد کامپوزیت هستند که برای بهبود شکل ظاهری و رنگ کلی روی دندان قرار میگیرند. به طور کلی ونیرها میتوانند شکل ظاهری و لبخند را زیباتر کنند.
این ونیرها در دو نوع لمینت سرامیکی و کامپوزیت یافت میشوند. اگر این دو روش درمانی به درستی انجام و پولیش شوند، میتوانند یک لبخند زیبا را به صورت شما هدیه دهند.

مزایا استفاده از لمینت سرامیکی
لمینتهای سرامیکی در کنار زیبایی که به دندانهای شما میبخشند ثبات رنگی بالاتری هم دارند. البته گفتنی است لمینت سرامیکی نسبت به روشهای دیگر ماندگاری طولانیتری نیز دارد.
معایب استفاده از لمینت سرامیکی
بعد از استفاده از لمینتهای سرامیکی بر روی دندان امکان اینکه بعدا شما مجددا بتوانید از دندانهای طبیعی خود استفاده کنید وجود ندارد. مورد دیگر اینکه در هنگام لمینت کردن دندانها مقداری از مینای دندان و لثهها تراشیده میشوند که همین امر ممکن است اندکی حساسیت دندانی شما هنگام خوردن و نوشیدن غذاهای سرد و گرم بالا رود.
از دیگر معایب این روش میتوان به دندان قروچه اشاره کرد. اگر به خاطر استرس دچار دندان قروچه هستید باید بدانید که ممکن است لمینت شما به خاطر سائیدگی بیش از حد آسیب ببینید.

مزایای استفاده از کامپوزیت دندان
کامپیوزیت دندان روشی درمانی برای اصلاح لبخند شماست و اگر توسط دندان پزشکی ماهر انجام شود، لبخند شما زیبا و طبیعی میشود.
معایت استفاده از کامپوزیت دندان
معایت کامپوزیت دندان این است که رنگ لبه آنها نسبت به لمینت سرامیک بیشتر تغییر میکند.

کامپوزیت دندان چگونه است؟
کامپوزیت، یکی از روشهای لمینت دندان است که برای اصلاح طرح لبخند کاربرد دارد و امروزه طرفداران زیادی را به دست آورده است. کامپوزیتها از مادهای به نام رزین کامپوزیت ساخته میشوند که این مواد همانند کار مجسمه سازی روی دندانها قرار میگیرند و با استفاده از نور روی دندان محکم میشوند.

انواع کامپوزیت دندان
کامپوزیت درشت دانه یا ماکروفیل: کامپوزیت ماکروفیل اولین نوع کامپوزیت است که وارد بازار شد.
کامپوزیت ریزدانه یا میکروفیل: این نوع کامپوزیت بر خلاف ماکروفیلها از ذرات ریزی تشکیل شدهاند و دوام کمتری دارند.
کامپوزیت میکرو هیبرید، هیبرید، نانو هیبرید: این نوع کامپوزیتها دقیقا ما بین کامپوزیت میکروفیل و ماکروفیل قرار گرفتهاند و ذراتی کمتر از 100 نانومتر تا 1 میکرومتر دارند. داخل این مواد فیلرهای بالایی قرار گرفته است که باعث میشوند مقاومت آنها در برابر ساییدگی دندانها افزایش پیدا کند.
نانو کامپوزیتها: نسل جدید کامپوزیت دندان، نانو کامپوزیتها هستند که حاوی ذراتی به اندازه 20 نانومتر هستند. ذرات این کامپوزیت به یکدیگر وصل میشوند و نانو خوشه را تشکیل میدهند که این یکی از ویژگیهای مثبت نانو کامپوزیتها به شمار میآید که همین امر موجب مقاومت در برابر ساییدگی، استحکام و قابلیت پولیش این کامپوزیت میشود.

کامپوزیت دندان خرگوشی
کامپوزیت دندان خرگوشی یکی از روشهای راحت و سریع برای پوشاندن عیوب ظاهری دندانها است. دندان خرگوشی به آن دسته از افرادی گفته میشود که فک بالاییشان نسبت به فک پایین جلوتر قرار گرفته است. برخی از افراد این فرم از دندانهایشان را میپذیرند و مشکلی ندارند اما برخی دیگر از افراد با استفاده از روش اصلاحی طرح لبخند علاقه دارند که کل فک را یکدست و صاف کنند.

نحوه نگهداری و مراقبت از کامپوزیت دندان
- به طور مرتب به دندان پزشک خود مراجعه کنید زیرا کامپوزیت دندان نیاز به مراقبت دائمی دارد.
- برای سالم ماندن لثههای خود روزی دو بار از نخ دندان استفاده کنید. همچنین توجه داشته باشید که نباید لثهها ملتهب شوند زیرا این اتفاق موجب خرابی دندانها میشود.
- برای نتیجه گیری هر چه بهتر، در هر بار مسواک زدن حداقل 3 دقیقه دندانها را مسواک بزنید.
- از روکشهای کامپوزیت دندانها به عنوان ابزاری برای باز کردن انواع بستهها، در بطری و... به هیچ عنوان استفاده نکنید زیرا این کار موجب خراب شدن آنها میشود.
- غذاهای سخت یا یخ و... که ممکن است به دندانها آسیب وارد کنند را به هیچ عنوان نجوید.
- غذاهایی را که مواد رنگی خوراکی و مصنوعی دارند زیاد مصرف نکنید زیرا ممکن است کامپوزیتها لکهدار شوند.
در نهایت این را در نظر داشته باشید که هیچ چیزی دوام همیشگی ندارد و شما با مراقبتهای درست از دندانهای خود میتوانید ماندگاری کامپوزیت را افزایش دهید. این را هم باید بدانید به طور متوسط روکشهای کامپوزیت حدود 5 تا 10 سال و روکش لمینت حدود 10 تا 17 سال عمر دارد. با این حال با توجه به مراقبتهای گفته شده میتوانید طول عمر کامپوزیت خود را افزایش دهید.

قیمت کامپوزیت و لمینت دندان
حال که با این دو روش اصلاح فرم لبخند آشنا شدید وقت آن است بدانید که قیمت کدام روش زیبایی دندان مقرون به صرفهتر است؟ در اینجا باید به شما بگوییم قیمت کامپوزیت دندان نسبت به لمینت دندان ارزانتر و مقرون به صرفهتر میباشد.


شاید برای شما هم سوال باشد
چند مدل لمینت برای زیبایی دندانها استفاده میشود؟
در روش زیبایی دندان و اصلاح طرح لبخند دو مدل لمینت داریم: 1. لمینت سرامیکی 2. لمینت کامپوزیتیاز لمینت سرامیکی استفاده کنیم یا کامپوزیت؟
تشخیص این مورد به عهده دندان پزشک است که با توجه به فرم دندانهای شما پیشنهاد میدهد.فرق لمینت کامپوزیتی با لمینت سرامیکی در چیست؟
به طور کلی و مختصر لمینتهای سرامیکی نسبت به کامپوزیتی مقاومت و دوام بیشتری دارند.هزینه و قیمت لمینت کامپوزیتی با لمینت سرامیکی تفاوت دارد؟
بله. هزینه لمینت سرامیکی بیشتر از کامپوزیتی است.لمینت دندانی باعث بوی بد دهان و یا خرابی و پوسیدگی دندانها میشود؟
خیر. در صورت مراقبت اصولی از لمینتها و دندانها و رعایت بهداشت دهان و دندان هیچ عوارضی متوجه این روشهای زیبایی نیست.